우리나라 인구의 평균수명은 83세 입니다. 생각보다 상당히 높죠? 이는 기대수명으로 현재 2021년 태어난 아기의 기대수명입니다.
현재 노인들의 기대 수명은 이것보다 더 높습니다. 평균수명에는 영아사망율에 대한 통계도 포함되기 때문이지요. 통계적으로 현재 만 65세인 노인 남성의 경우 기대여명이 19.3년 여성의 경우에는 23.7년을 생존할 수 있는 것으로 예측되고 있습니다.

즉 노인이 되어서도 남성이든 여성이든 20년은 더 살 수 있다는 것이 현재의 통계입니다.
이렇게 긴 노인의 삶에서 가장 무서운 질병이 치매입니다. 우리나라 만 65세 이상의 노인 인구 중 약 9%정도가 치매를 앓고 있는 것으로 조사되었습니다.
아직도 10년 20년을 살아가야 하는데 치매에 걸린다면 그보다 더 무서운 일이 있을까요?
오늘은 치매검사 방법과 비용을 알아보고 모두 미리미리 대비해보는 시간을 갖도록 하겠습니다.
1. 치매 대표적 증상
치매하면 가장 먼저 떠오르는 이미지들이 있으시죠? 길을 잃고 집을 찾지 못하거나, 자식의 얼굴을 알아보지 못하는 등 미디어를 통해 많이 소개가 되어있기 때문에 대략적으로 알고 계시는 분들이 많으실 것입니다. 대체적으로 건망증과 비슷하게 시작이 된다고 알고 있습니다.



치매 환자의 60%는 알츠하이머 즉 퇴행성 뇌질환을 앓고 있는 것이기 때문에 기억력이 흐려지고, 일상생활이 어려워지는 증상이 나타나게 됩니다. 약속을 정한 것을 잊거나, 계획을 수립해서 무언가를 하는 일들이 힘들어지는 것이죠.
또한 성격이 난폭해지거나 조용해지거나, 말이 느려지는 등의 언어장애도 나타날 수 있습니다. 주변의 노인이 이러한 증상이 있다면 바로 검사를 받아봐야 합니다.
치매는 현재 과학기술로 치료는 어렵지만 진행을 늦추는 것만으로도 상당한 효과가 있기 때문입니다.
2. 치매 검사 방법, 기관
치매 검사는 생각보다 쉽게 받을 수 있습니다. 지자체에서는 자신들의 지역에 거주하는 노인들이 치매검사를 쉽게 받을 수 있도록 여러 서비스를 제공하고 있습니다.
치매는 증상이 없더라도 만 65세 이상이 된 경우 매년 받아보는 것이 서로를 위하는 길입니다. 만 70세 이상부터는 더욱 빈번하게 발병한다고 하니, 더욱 신경써야 하겠습니다.
치매 검사는 3가지 단계가 있으며, 대부분 무료 검사이고 유료의 경우에도 지원을 받을 수 있으니 부담없이 받으실 수 있습니다.



첫번째 치매선별검사
첫번째 단계는 치매선별검사 입니다. 이 검사는 병원에 갈 필요도 없고, 의학적으로 피를 뽑거나 하지 않고 간단한 문진으로만 이루어 집니다. 질의 응답을 하는 것인데요, 20분정도 짧은 시간으로 진행할 수 있어 간편합니다. 간이정신상태도구라는 툴을 이용하여 전문 검사자가 검사하게 됩니다. 우리집에서 가까운 보건소나, 자신이 사는 지역구 + 치매안심센터를 검색하시면 검사가 가능합니다.
간단한 문진이라도 실제 치매가 있는분들은 답변이 어려운 내용들로 구성이 되어 있어서 치매 초기증상등을 발견해 낼 수 있습니다.
정상이신 분들은 대부분 쉽게 답할 수 있는 내용이니 너무 겁먹지 마시고 검사를 받아보시기 바랍니다.
두번째 치매진단검사
두번째도 무료로 진행 되고 있습니다. 첫번째 단계에서 검사결과가 의심스럽다면 받게 되는 검사입니다. 전문교육을 받은 간호사나 임상병리사등 전문가가 직접 검사합니다. 1시간 정도 걸리는 검사이며, 병원에서 검사할 경우 비용이 발생하며 비용은 10만원 미만입니다.
세번째 감별검사
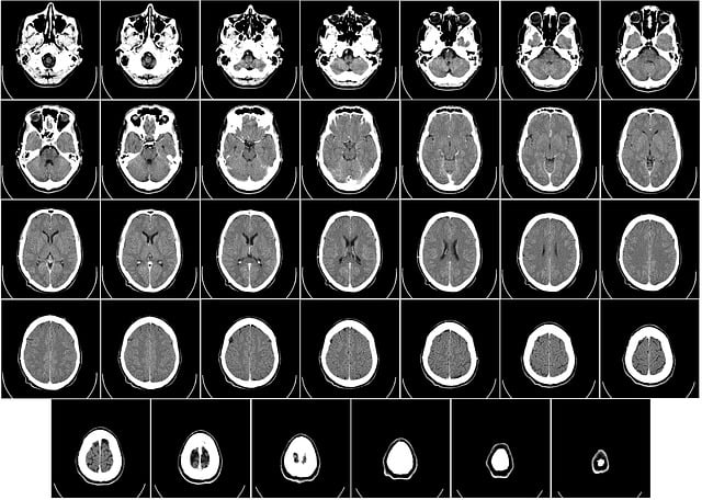
네 세번째 단계까지 오셨다면 높은 확률로 치매일 수 있습니다. 이 검사는 두번째 치매진단검사에서 치매로 진단이 나오면 받아야하는 검사입니다. 병원에서 진행하며 씨티와 엠알아이를 이용하여 뇌영상을 촬영하게됩니다. 엠알아이가 정확도는 높으며 비용은 비싼 편입니다.
씨티 검사의 경우 6~8만원정도 하며, 엠알아이는 20~30만원입니다. 두 검사 모두 이전에 비하여 비용부담이 많이 줄어든 편입니다.
이렇게 우리나라의 치매검사 방법과 비용을 알아보았습니다. 비용은 생각보다 많이 들지 않습니다. 두번째 검사단계까지는 나라에서 소득에 관계없이 비용을 지원해주고 있습니다. 즉 많아도 20~30만원이면 모든 치매검사를 할 수 있으니 미루지 마시고 검사를 받기를 바라며, 첫번째 단계 즉 초기에 알아낼 수 있는 단계는 무료이고 시간도 오래 걸리지 않으니 매년 받아보시는 것을 추천드립니다.



치매에 걸리셨다고 해서 너무 절망하거나 무서워하지 않으셔도 됩니다. 국가에서는 여러가지 지원 정책을 마련하고 있고 치매 환자와 그 가족의 부담을 조금이라도 덜 수 있도록 도와주고 잇습니다.
그러한 내용들은 여러가지가 있으니 검색을 해보시면 도움이 될 것입니다.
남녀 모두 80세까지 건강하게 노후를 보낼 수 있도록 치매검사 주기적으로 받으시길 바랍니다.
2023.02.07 - [분류 전체보기] - 노인 주간보호센터 이용시 비용은 얼마가 들까?
노인 주간보호센터 이용시 비용은 얼마가 들까?
우리나라의 노인인구는 갈수록 많아지고 있습니다. 초고령사회로의 진입도 코앞이며 2050년에는 인구의 40%가 고령층에 속하게 될 것이라는 연구도 있습니다. 먼 미래의 일과 같아 보이지만, 노
enter.loveleto.net
2023.01.25 - [분류 전체보기] - 방문요양 비용 및 서비스 내용 알려드려요!
방문요양 비용 및 서비스 내용 알려드려요!
노인 1인가구의 급격한 증가에 따라 국가에서는 이러한 노인 1인가구 케어를 위하여 여러가지 복지정책을 실시하고 있습니다. 그 중 하나가 바로 방문요양 서비스 입니다. 방문요양 서비스는 장
enter.loveleto.net
2023.02.18 - [분류 전체보기] - 가족돌봄 휴직제도? 가족돌봄 휴가와 다른 점은?
가족돌봄 휴직제도? 가족돌봄 휴가와 다른 점은?
가족돌봄 휴직제도란, 노동자의 부모, 배우자 혹은 아들,딸 또는 배우자의 부모 등의 가족이 사고나 병, 또는 치매등으로 인해 케어가 필요한 상황에 사용할 수 있는 제도입니다. 사업주는 정해
enter.loveleto.net